身份验证

拖动滑块,使图片角度为正

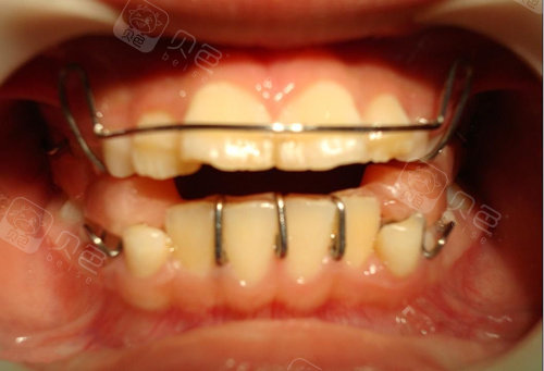
正雅T1隐形牙套主要解决哪些问题?儿童牙齿不齐、咬合错位等问题的矫正!

  • 参考金额 16800元
  • 口腔项目 隐形矫正
  • 预计恢复时间 720天
2024-10-12 17:15:59

在现代社会,越来越多的家长开始关注孩子的口腔健康问题,尤其是牙齿的排列和咬合情况。牙齿不齐、咬合错位等问题不仅影响孩子的美观,还可能对咀嚼功能和面部发育造成不良影响。为了解决这些问题,正雅T1隐形牙套应运而生,成为许多家长和孩子的优选矫正方案。那么,正雅T1隐形牙套主要解决哪些问题呢?它的适应范围和适合人群又是怎样的呢?下面,我们就来详细了解一下。

正雅

正雅T1隐形牙套主要解决的问题

正雅T1隐形牙套是一种针对儿童牙齿不齐、咬合错位等问题的有效矫正工具。它采用新型的数字化技术和高分子材料,通过一系列定制的隐形牙套,逐步调整牙齿的位置和咬合关系,从而达到矫正的目的。

牙齿不齐

牙齿不齐是儿童常见的口腔问题之一,表现为牙齿排列不整齐,有间隙或重叠。正雅T1隐形牙套可以通过逐步移动牙齿,使其逐渐排列整齐,改善牙齿的美观度。

咬合错位

咬合错位是指上下牙齿在咬合时不能正确对应,导致咀嚼功能下降,甚至影响面部发育。正雅T1隐形牙套可以调整牙齿的排列和咬合关系,使上下牙齿能够正确对应,改善正常的咀嚼功能。

牙列拥挤

牙列拥挤是指牙齿数量过多或牙齿大小不匹配,导致牙齿排列紧密,难以清洁。正雅T1隐形牙套可以通过扩展牙弓、调整牙齿位置等方式,解决牙列拥挤的问题,提高口腔清洁度。

反颌(地包天)

反颌是一种常见的颌骨发育异常,表现为下牙包住上牙,影响面部美观和咀嚼功能。正雅T1隐形牙套可以通过调整颌骨和牙齿的位置,改善反颌问题,使面部更加美观。

正雅隐形牙套

正雅T1隐形牙套的适应范围和适合人群

正雅T1隐形牙套主要适用于3-10岁的儿童,特别是在乳牙列、替牙早期和替牙中期阶段的儿童。这些阶段是儿童牙齿生长发育的关键时期,也是进行牙齿矫正的更佳时机。

乳牙列阶段

在乳牙列阶段,儿童的牙齿和颌骨正在快速发育。如果在这个阶段发现牙齿不齐、咬合错位等问题,及时进行矫正可以引导牙齿和颌骨的正常发育,避免后续出现更严峻的口腔问题。

替牙早期和中期阶段

在替牙早期和中期阶段,儿童的乳牙开始逐渐替换为恒牙。这个阶段是牙齿排列和咬合关系形成的关键时期。通过正雅T1隐形牙套进行矫正,可以帮助恒牙正确生长,预防牙列拥挤、咬合错位等问题的发生。

适合人群

正雅T1隐形牙套适合那些对美观度要求较高、希望避免传统矫正方式带来的不适和不便的儿童。同时,它也适合那些有轻度至中度牙齿不齐、咬合错位等问题的儿童。对于重度牙齿问题或复杂口腔情况,可能需要结合其他矫正方式或进行进一步的评估和治疗。

正雅矫正

总之,正雅T1隐形牙套是一种针对儿童牙齿不齐、咬合错位等问题的有效矫正工具。它采用可靠的数字化技术和高分子材料,通过一系列定制的隐形牙套,逐步调整牙齿的位置和咬合关系,达到矫正的目的。在选择正雅T1隐形牙套时,建议家长根据孩子的具体情况和医生的建议进行选择,并密切关注孩子的矫正进展和口腔健康状况。

猜你喜欢

正雅牙套不同版什么差别?详细说明gs/悦享/经典/航天等多个版本的区别在哪里?

正雅s8能做到下颌骨后移吗?正雅S8颌位重建风险、价格等内容都在这里!

青少年牙齿矫正器品牌排行榜前10名单来咯~奥美科/普特/3M/非凡/新亚/隐适美/时代天使/正雅/美立刻/适美乐上榜!

收藏