身份验证

拖动滑块,使图片角度为正

进口牙冠大揭秘:德国威兰德、美国 3M 拉瓦等品牌优缺点及价格全解析!

  • 参考金额 10元
  • 口腔项目 全瓷牙
  • 预计恢复时间 1天
2025-11-11 10:06:02

在当今社会,人们对口腔健康和美观的重视程度与日俱增。牙齿缺损、断裂、颜色不佳等问题,不仅影响着我们的咀嚼功能,还对个人形象和自信心造成了一定的影响。因此,牙冠修复成为了许多人的选择。而进口牙冠,凭借其出色的美观性、耐用性和生物相容性,逐渐成为患者的优选。

当面临牙冠修复时,很多人都会感到迷茫。市场上牙冠品牌众多,价格差异也特别大,让人不知道该如何选择。有的诊所推荐的全瓷牙冠要五六千一颗,说是 “进口高端材料”;而有的地方报价才一两千,但医生却支支吾吾说不清具体品牌和质保。作为患者,比较怕的就是花了大价钱却踩坑,或者贪便宜装上不耐用的劣质牙冠,然后还得返工,既遭罪又费钱。

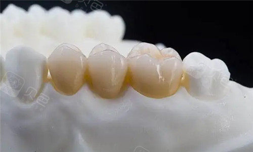
联排全瓷牙冠展示图

常见进口牙冠品牌剖析

德国威兰德

德国威兰德是一家专注于牙科材料研发和生产的公司,其产品以高品质和高精度著称。威兰德的牙冠采用了较高的计算机辅助设计和制造技术,能够更好地复制患者的牙齿形态,提供比较佳的舒适度和美观度。

威兰德全瓷牙冠以其优异的强度和美观性著称,采用高品质的二氧化锆材料,具有良好的生物相容性,不会对牙龈造成刺激。其二氧化锆全瓷冠具有高强度和良好的透光性,能够非常好地模拟天然牙的外观和质感,色泽自然,能够比较好地模拟天然牙齿的外观,是追求高品质口腔修复患者的优选。价格方面,二氧化锆全瓷冠价格约为 2800 元至 4000 元 / 颗不等,具体价格因型号和地区差异而异。

德国泽康

德国泽康全瓷冠采用较高的陶瓷材料,具有良好的通透性和颜色稳定性。它具备 900 - 1200Mpa 的高强度,挠曲强度测试值超过 1300Mpa,还提供白色、彩色(象牙色)选择,属于超级强韧的材质,白色适合大多数病例,彩色(象牙色)适合变色牙或需要遮盖的金属结构。

泽康全瓷牙冠的通透性好,颜色自然,耐磨性强,适用于前后牙修复。其全瓷冠价格较高,约在 3500 元至 4500 元 / 颗不等,适合对品质有极高要求的患者。

全瓷牙的光泽和颜色

美国 3M 拉瓦

美国 3M 拉瓦全瓷冠以其不错的耐用性和美观性受到推崇。每颗全瓷牙都有身份代码,确保产品的可追溯性和独一性。它利用 CAD/CAM 系统制作,确保高精度和个性化定制,修复后的牙齿坚固耐用,色泽自然。

3M 拉瓦全瓷冠采用创新的纳米烤瓷技术和工艺,采用材料科学,确保了牙冠的高强度和出色的美观度。独特的色彩管理系统能够匹配患者的自然牙色,实现无缝融合。其全瓷冠价格不菲,约在 3800 元至 6000 元 / 颗不等。

韩国登腾

韩国登腾牙冠以性价比高著称,具有良好的美观性和耐用性。现在有用 rainbow 高透瓷、rainbow 有色瓷、rainbow 透明瓷、rainbow 普通瓷 4 个品牌,登腾全瓷牙的优点是强度高、生物相容性好、透明度高。

韩国登腾全瓷牙价格相对适中,约在 2000 元至 3500 元 / 颗不等,适用于前后牙修复,对于预算有限但又想选择进口牙冠的患者来说是一个不错的选择。

全瓷牙冠图

瑞典 Procera

Procera 全瓷牙冠以其高品质和长寿命而出名。其全瓷牙冠不仅美观度高,而且耐久性出色,深受牙医和患者的信赖。它采用可靠的制作工艺和材料,确保修复后的牙齿具有出色的美观性和耐用性。

瑞典 Procera 氧化锆全瓷牙的使用寿命有 30 年以上,它是一种透明的瓷质骨架,强度达到 1200Mpa,具有较强的防崩裂性,不必担心吃硬东西出现崩牙,可以修复龅牙、虎牙、老鼠牙、前牙拥挤、牙缝过宽、牙列不齐、断牙、氟斑牙等。价格范围在 5000 元至 8000 元起不等。

日本则武

日本则武全瓷牙以娴熟的陶瓷技术出名,提供全套完整的齿科烤瓷系列产品。其全瓷牙冠在美观性和耐用性方面表现出色,为患者带来可靠的修复选择。

则武全瓷牙的瓷块里原本就是有分层的,所以制作出来的全瓷牙冠层次感比较强,通透性强,美学修复功能好。价格在 8000 元起 / 颗。

不同位置的全瓷牙

德国迪瑞

德国迪瑞全瓷牙冠采用高纯度二氧化锆,相比普通全瓷牙,它的强度更高、透光性更好,能较大程度模拟天然牙的质感。抗折性强,普通全瓷牙可能崩瓷,但迪瑞的锆块密度更高,啃苹果、嗑瓜子基本无压力;生物相容性佳,几乎 0 过敏反应,适合牙龈敏感人群。

其牙冠由德国原厂 CAD/CAM 精密切削,误差控制在微米级,边缘密合度远超国产货。咬合精细,不会出现 “戴牙冠后咬合不适” 的问题;色泽自然,多层染色技术,不会假白,尤其适合前牙美学修复。临床数据显示,迪瑞全瓷牙冠的平均使用寿命可达 10 年 + ,远超国产全瓷牙(通常 8 - 10 年)。耐磨性强,日常咀嚼几乎无磨损,不会像树脂牙那样变黄;部分高端诊所提供 10 年质保,售后更省心。价格方面,单颗价格通常在 3000 元起。

连冠全瓷牙

进口牙冠的优势体现

美观性好

进口牙冠采用可靠的陶瓷材料,具有良好的透光性和颜色稳定性,能够非常好地模拟天然牙的外观和质感,使修复后的牙齿更加自然、美观。例如德国威兰德和美国 3M 拉瓦的牙冠,都能在色泽上与真牙高度相似,达到以假乱真的结果。

耐用性强

进口牙冠采用高强度陶瓷材料或金属陶瓷复合材料制成,具有出色的耐磨性和抗折裂性,能够长期保持修复结果。像瑞典 Procera 全瓷牙冠,使用寿命可达 30 年以上,能为患者提供长久的支持。

生物相容性佳

进口牙冠材料具有良好的生物相容性,不会对口腔组织造成刺激或过敏反应,确保了患者的口腔健康。许多进口牙冠在制作过程中经过严格的生物相容性检测,如文中提到的某款牙冠经过严格的疲劳测试、耐磨测试和生物相容性检测,正常使用情况下,10 年内出现质量问题都可以免费处理。

个性化定制

进口牙冠可以根据患者的牙齿情况和需求进行个性化定制,确保修复结果符合患者的期望。通过较高的计算机辅助设计和制造技术,能够更好地复制患者的牙齿形态,提供比较佳的舒适度和美观度。

全瓷牙冠卡通图片展示

选择进口牙冠的注意事项

了解自身需求和预算

在选择进口牙冠时,患者首先要了解自己的牙齿情况和修复需求,同时结合自己的预算来做出选择。如果预算充足,追求高品质和长寿命,可以选择瑞典 Procera 等高端品牌;如果预算有限但又想选择进口牙冠,韩国登腾是一个不错的选择。

选择正规口腔医院和医生

牙冠修复的结果不仅与牙冠的品牌和质量有关,还与医生的技术水平和经验密切相关。因此,患者应选择正规的口腔医院和有经验的医生进行牙冠修复。在一些高端口腔医院,由于设备较高、医生经验充足,价格可能会稍高一些,但修复结果也更有支持。

关注售后服务

一些进口牙冠品牌提供较长时间的质保,如某款牙冠提供 10 年质保,正常使用情况下,10 年内出现质量问题都可以免费处理。患者在选择牙冠时,应关注品牌的售后服务,确保在使用过程中遇到问题能够得到及时解决。

半口全瓷牙展示图

总结与建议

进口牙冠以其出色的美观性、耐用性和生物相容性,成为越来越多患者的优选。在选择进口牙冠时,患者应了解不同品牌的特点和优势,根据自己的需求和预算做出选择。同时,要选择正规的口腔医院和有经验的医生进行牙冠修复,并注意术后护理,以确保修复结果达到比较佳。希望大家都能重视口腔健康,及时修复牙齿问题,拥有美丽的笑容和健康的口腔。

收藏